What you should know about Calcaneal Spur and Plantar Fasciitis
Calcaneal Spur and Plantar Fasciitis
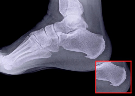
A heel spur is a calcium deposit causing a bony protrusion on the underside of the heel bone. On an X-ray, a heel spur can extend forward like a hook. Many calcaneal spurs are asymptomatic and pain usually comes with associated soft tissue inflammation.
Heel spurs are your body’s response to stress and strain placed on your foot ligaments and tendons. You can also develop heel spurs by repeatedly tearing the covering that lines your heel bone. Repeated Stress on your heel from walking, running or jumping causes Calcaneal spurs. Obesity also puts excess pressure on your feet. Aging leads to reduced flexibility in the plantar fascia. Altering pressure distribution on the heel due to flat feet or high Arch also causes Calcaneal Spur.
If symptomatic the most common is acute pain in the Heel and back of Heel especially while waking up in the morning and the initial few steps. It subsides but recurs with every period of rest. This is the result of inflammation and causes swelling and tenderness of the heel. Symptoms also include dull ache throughout the day. Poorly fitted footwear also leads to improper bio mechanical load leading to increased pressure on the plantar region.
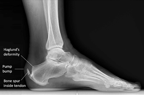
At times heel spurs develop on the back of the heel and impinge on the Achilles tendon or inflame the calcaneal Bursa leading to Achilles tendinitis or calcaneal Bursitis. Achilles Tendinitis is a condition where the Achilles tendon, which connects calf muscle to the heel bone, becomes inflamed and irritated.
Haglund’s deformity. This is a condition in which there is enlargement of the bone on the back of the heel. This can rub on the Achilles tendon and cause inflammation and pain.
If you remember the normal walking pattern the heel strikes the ground first and so that results in extra pressure on the heel. This is also the reason for thicker and at times dry skin in the heel. Repeated pressure leads to callus formation and heel fissures. Wearing a footwear with heel raise helps in shifting the pressure load from the Heel and reduces the pain. More about it in the session on footwear modifications.
Plantar Fasciitis
Plantar Fasciitis and Calcaneal Spurs are similar condition causing inflammation and pain. Plantar Fascia is a thick band of tissue that runs from the Heel to the toe and when it gets inflamed it’s called Plantar Fasciitis. This tissue supports the arch of your foot and absorbs shock when you walk. Its most common in people with flat foot.
Plantar fasciitis happens when your plantar fascia is overused or stretched too far. Anything that damages your plantar fascia can make it swell. This inflammation makes it painful to walk or use your foot. Most people experience plantar fasciitis in one foot at a time, but it’s possible for it to affect both your feet at once.
Stretching is one of the best treatments for plantar fasciitis. Stretching should be focused on the plantar fascia and the Achilles tendon. Keep the weight and stress off your foot, at least partially, while your plantar fascia is healing. Switching to footwear that absorbs shock with arch support or trying heel cups or other orthotics to cushion the heel, supports the fascia and reduces the pain. Applying athletic tape to your foot to support muscles and ligaments also helps to reduce pain. Wearing night splints to continue stretching your foot while you sleep is very effective to reduce pain when you wake up.

38 thoughts on “What you should know about Calcaneal Spur and Plantar Fasciitis”
Mateo1558
July 26, 2025https://shorturl.fm/mmLFq
Brayden4507
July 26, 2025https://shorturl.fm/VWjOC
Erin3208
July 28, 2025https://shorturl.fm/oEjI1
Helena2689
July 29, 2025https://shorturl.fm/bb7AK
Isaac3301
July 29, 2025https://shorturl.fm/RH0d3
Allen1269
August 1, 2025https://shorturl.fm/tFqIw
Cayden1614
August 1, 2025https://shorturl.fm/JlODy
Natalie3751
August 1, 2025https://shorturl.fm/H9AXJ
Hector216
August 1, 2025https://shorturl.fm/ANswp
Adria475
August 2, 2025https://shorturl.fm/FdXjx
Horace3351
August 2, 2025https://shorturl.fm/3DoxB
Bobby1342
August 3, 2025https://shorturl.fm/p5aN6
Jasper153
August 3, 2025https://shorturl.fm/17DbE
William1816
August 4, 2025https://shorturl.fm/OxlMl
Shawn2404
August 4, 2025https://shorturl.fm/ydwyF
Londyn4148
August 4, 2025https://shorturl.fm/xaHU6
Holden1050
August 4, 2025https://shorturl.fm/VJGyO
Clifford531
August 4, 2025https://shorturl.fm/hBzuv
Lachlan2900
August 6, 2025https://shorturl.fm/9zE2P
Brooks475
August 7, 2025https://shorturl.fm/SbA1X
Asher2561
August 8, 2025https://shorturl.fm/7Jwdb
Eddie4593
August 11, 2025https://shorturl.fm/7uRTU
Leila3907
August 12, 2025https://shorturl.fm/VpWQK
Alfredo2298
August 12, 2025https://shorturl.fm/mtjO8
Hector640
August 12, 2025https://shorturl.fm/ZfwnD
Kane3136
August 16, 2025https://shorturl.fm/E6PXt
Janet4371
August 21, 2025https://shorturl.fm/yqTUU
Craig2744
September 4, 2025https://shorturl.fm/NKVKY
Judy3791
September 19, 2025https://shorturl.fm/9aQK1
Madison1307
March 28, 2026Share your unique link and cash in—join now!
Pingback: ciprofloxacin dexamethasone
Pingback: meloxicam 15 mg for back pain
Alayna2197
March 30, 2026Share our products and watch your earnings grow—join our affiliate program!
Pingback: diflucan over the counter uk
Pingback: zyloprim anxiety medication
Pingback: lasix medicine for heart
Pingback: lasix diuretic medicine
Pingback: dexlansoprazole 30 mg oral capsule